イヌのFNAと細胞診

 「ワンちゃんの体にしこりのようなものがある!」という主訴で来院されるオーナー様は当院においても非常に多くいらっしゃいます。

 そのしこりは、大きいものから小さいもの、米粒のようなもの、硬いもの、やわらかいもの、表面が赤いものなどバリエーションが豊富です。

 そのしこりが、良性のものなのか、悪性のものなのか、それこそガンなのかといったことは触っただけでは分かりません。「おそらく良性のものだろう」と私が経験と勘から思うしこりもあるのですが、あくまで推測の範疇にすぎません。

 その「しこり」が何なのかを正確に知るためには病理組織診断が必要になります。

 ただ、体表のしこりに対していきなり外科切除からの病理組織診断をするというのはオーナー様やワンちゃんにとっていろいろな負担になるかと思います。

そこで、

「しこりを細い針で刺して細胞を採取。その細胞を顕微鏡で見る。」という

FNA(針吸引生検)と細胞診

をしこりを主訴とするオーナー様に診断への最初のステップとして提示いたします。

 FNAと細胞診は、もちろん無麻酔でできるし、すぐに結果も分かる。検査時間もたいしてかからないということで最初のステップとしては非常に利点の多い検査だと思います。院内ですぐ診断できるというのは治療にすぐ入れるというすばらしい利点があります。

 当院での細胞診は私が顕微鏡観察して診断できるものは私が診断します。迷ったり分からないものは検査センターの病理医の方に見ていただいています。

 欠点があるとすれば、確定診断できないことが多いということかなと思います。

 そのしこりが「腫瘍か、そうじゃないのか?」「腫瘍なら悪性or良性どっちの可能性が高いか?」が分かれば、FNAと細胞診としての役目を十二分に果たしていると思います。

 ここからは、当院で私が担当させていただいたFNAと細胞診の紹介になります。

 上唇の有毛部に1cm弱の真っ赤なしこりができてしまったワンちゃんで、他院で麻酔をかけて一部切除してからの組織診断をすすめられたようです。

↑すごく痛々しい感じです。大切な顔の部分なのでなんとか顔貌を変えずに治療・治癒させたいです。

 私は基本的に「犬にしこりがある」という場合、各部位別になんの腫瘍が考えられるのかな?というのを最低3つ4つすぐ考えます。いや、考えるように気を付けています。

 今回の場合だと、皮膚組織球腫とか肥満細胞腫とか皮脂腺系の腫瘍、もちろん炎症などなど考えるのですが、なんせめっちゃヤングで元気なワンちゃんだったので皮膚組織球腫をけっこう考えました。

 そこで、まずは基本に忠実に無麻酔でFNAをすることにしました。しかし、ほんとにめっちゃヤングで元気いっぱいだったので細胞を多くはとれませんでした。

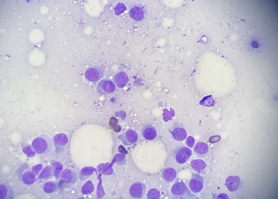
↑サンプル量が少なくともあきらめずにきちんとライトギムザ染色をしました。

 で、採材した細胞を染色したのが上の写真ですが、写真では大きく見えるかもしれませんが想像以上に量が少ないなぁと感じました。

 とはいえ、このサンプルスライドを顕微鏡で観察すると意外に細胞が採取されていて、

↑細胞診において独立円形細胞腫瘍と呼ばれる仲間では、組織診断なくてもほぼ確定診断できることもあります。

 上の写真のような感じでした。この細胞診から「皮膚組織球腫」と暫定診断して治療を開始しました。外科切除も治療選択肢としてはあるのですが、オーナー様に犬の皮膚組織球腫の挙動・性格をお話しした結果、内科的な治療で腫瘍の退縮を待とうということになりました。

 ちなみに、犬の皮膚組織球腫とはなんなのか?はこちら←要クリックです。

 約一か月経過すると…

↑ほとんど腫瘍が目立たないようになりました。なにより顔貌を維持できたことがよかったと思います。

 けっこう退縮してきました。おそらく、このまま腫瘍は衰退していってくれるのではないかと思いながら注視しています。

 FNAと細胞診は、数ある検査の中の1検査に過ぎないので過信はできないですが、やはり「しこり」の診断(腫瘍局所の診断)の最初の一歩として、オーナー様に受け入れていただきやすい非常に価値ある検査だと思います。

↑さらに一歩踏み込んで細胞診について書いた記事です。細胞診の限界を書いています。ぜひご覧ください。

2022年01月23日