イヌのクッシング症候群

 犬の副腎皮質機能亢進症(クッシング症候群)についてもう少し掘り下げた記事は下にあります。犬のネルソン症候群←要クリックについて触れています。2022年9月19日に加筆です。

 犬の副腎皮質機能亢進症(クッシング症候群)の症状と新しいお薬=トリロスタンの錠剤についての記事はさらに下にあります。こちら←要クリックからご覧ください。2022年12月23日に加筆の最新記事です。


 今回は犬のクッシング症候群の内科治療で最近思ったことのお話です。

 犬のクッシング症候群(副腎皮質機能亢進症)とはどんな病気なのか?くわしい解説はここでは割愛します。Google様におまかせします。

超かんたんにいうと

副腎という小さな臓器から不必要にホルモン(コルチゾル)がどっかんどっかん分泌されて体に悪影響を及ぼす病気

です。

 副腎そのものが悪い場合もあるし、副腎に分泌命令を出している脳の下垂体が悪い場合もあります。

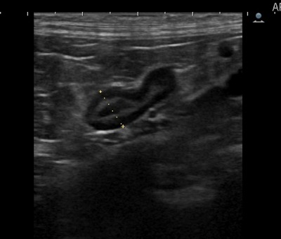
↑当院でのエコー画像。クッシング診断にあたり左右の副腎の大きさ・形態は必ずエコーでチェックします。mm単位のこんなに小さな臓器が非常に重要な役割をしています。「小さな巨人」と言われるのにも納得です。ももクロの緑だった人のようです。

 ワンちゃんではどちらかというと下垂体が悪い場合(下垂体性クッシング)が多くなります。

 副腎皮質機能亢進症(特に下垂体性)の内科治療ではどっかんどっかん副腎から分泌されるコルチゾルの産生抑制のために毎日お薬を飲みます。

この時、毎日お薬(当院ではトリロスタン)を飲むだけではなく

↑犬の副腎皮質機能亢進症のお薬の1つであるアドレスタンさん。動物用医薬品です。カプセル剤で中に粉が入っています。ぜぇっ~~ったいにカプセルを開けないようにオーナー様にお話しします。薬の微細粉末暴露をさけるためです。妊娠されている方がご家族にいないかの確認も必要だと思っています。薬剤暴露からオーナー様を守ることは重要です。

 ワンちゃんの臨床症状を観察しながら、コルチゾルが過剰に抑制され過ぎてないか、不十分な抑制ではないか、良好な抑制なのか

をモニタリングしていかなければいけません。

要するに薬の効果判定が必要になります。

そこで

 私は薬の効果判定のために臨床症状の観察に加えて、ACTH刺激試験という検査を今でも実施しています。

 合成ACTH製剤を注射する前後でコルチゾルの血中濃度を測定して、薬の効果判定をするという検査です。

必要かつ重要な検査だとは思うのですが、

オーナー様の経済的負担が大きいかなぁ

そもそも頻繁にできる検査でもないなぁ

合成ACTH製剤を過剰に注射することも抵抗があるなぁ(ラットの報告もあるし)

こんな感じで思っていて、もっと簡略化して効果判定できないかなとずっと思ってました。

そんな中、

 

トリロスタンを飲んで3時間後のコルチゾルの血中濃度を測定して、薬の効果判定をできるんじゃないか!

 

という学会の講演を見ました。

ACTH刺激試験なしでのトリロスタンの効果判定

というのに魅力を感じました。

↑何度も登場した当院のフジフィルム様免疫反応測定装置。コルチゾルも15分弱で測定できます。院内で外来中に結果がわかるので非常に有用です。

 これなら、合成ACTH製剤もいらないし、もう少し細やかに効果判定できるのではないかと思いました。

 オーナー様の経済的負担、ワンちゃんの体への負担も減るかと思います。

 なるべくワンちゃんをお預かりすることなく、外来診療で迅速に結果をだしていきたいと私は思っているのでこのような方法も検討していこうかと思います。

 とはいえ、すぐにこの方法に飛びつけるわけもなく、自分なりにもっと知見を集めて勉強・熟考してみます。


ここからは2022年9月19日に加筆

イヌのネルソン症候群

 犬のクッシング症候群を他院で治療しているけども、

それがうまくコントロールできなくなってきた!

おかしな神経症状が出始めた!

どうにかならないか?

 このような主訴で来院したワンちゃんの診察やオーナー様からの相談の機会が今年何度かありました。

このような時、

 他院から来院されたオーナー様に対してこの病気のことを改めて説明させていただくのですが、その中で特に強調する点が、

犬の副腎皮質機能亢進症(クッシング症候群)は腫瘍が原因
~多くは脳下垂体腫瘍が原因~

ということです。

犬のクッシング症候群の多くは、

 脳下垂体腫瘍が原因で副腎皮質機能が亢進してコルチゾルというホルモンが過剰に産生されることにより、特徴的な一連の症状を発現します。
~その8割近くが下垂体腫瘍が原因。副腎そのものが腫瘍化することもあります~

脳下垂体腫瘍が主な原因とはいえ

 副腎皮質自体の腫瘍が原因ということもあるので両者の鑑別を治療前にしっかりしておく必要があります。
~いずれにせよ腫瘍が原因であることに変わりはありません~

ちなみに

「クッシングは腫瘍が原因ですよ」という説明に、

「知らなかったぁ」という反応をされるオーナー様も少なくありません。

次に、

 治療の選択肢についても改めて説明させていただいています。
~この記事では下垂体依存性(下垂体腫瘍が原因の)副腎皮質機能亢進症(クッシング症候群)についてのお話になります~

 下垂体依存性副腎皮質機能亢進症の治療は下垂体腫瘍のサイズにもよりますが、

・外科や放射線で腫瘍を切除もしくは減容積するか
~クッシング症候群の原因へのアプローチ~

もしくは

・原因はさておき、トリロスタンによって臨床症状を改善させるか

になります。

 必ずしもクッシング症候群=トリロスタンによる内科治療

というわけではなく

 外科や放射線治療も選択肢として存在することは伝えます。
~もちろんどの治療法も一長一短ある~

特に

 初診時から神経症状のあるクッシング症候群の場合、下垂体腫瘍への放射線治療という選択肢もいちおうありうることを伝えるようにしています。

とはいえ、

 当院ではほとんどのオーナー様がトリロスタンによる内科治療を選択されます。
~現実問題として外科や放射線治療を高知県で選択することはなかなかハードルが高いと思います~

トリロスタンによる内科治療は対症治療

 大部分のオーナー様が選択されるトリロスタンによる内科治療の注意点や副作用、モニタリングポイントの説明もさせていただいています。

その中で、

 今ワンちゃんが飲んでいるトリロスタンというお薬はステロイド合成酵素阻害薬なので

はっきりいって下垂体腫瘍にはなんの効果もない

ということを伝えます。

 トリロスタンは副腎でのコルチゾルの合成を抑制しているだけです
~実際にはステロイドホルモン全般の合成を抑制しているので、併用を控えた方がいいお薬があることやオーナー様への薬剤曝露の注意も伝えます~

 コルチゾルの合成が抑制されるために、それに伴うクッシング症候群という一連の症状が緩和されています。

 トリロスタンによる内科治療は対症治療だと私は思っています。

犬のネルソン症候群

 トリロスタンによる内科治療を長く続けていると、

腫瘍化した下垂体から副腎に対して「コルチゾル産生しろ!」という命令がでているのに

トリロスタンパワーによって血中コルチゾル濃度が思うように上昇しないために

下垂体が「命令だしてる割にコルチゾル濃度があがらんな!」と勘違いしてしまい

下垂体の作戦が「ガンガンいこうぜ」に変わってしまうことがあって

そうなると

 ガンガンいくために下垂体腫瘍がガンガン成長し始めることがあります。

 ざっとこんな感じの流れが犬のネルソン症候群になります。

 トリロスタンで内科治療したために最初は微小だった下垂体腫瘍が大きくなってしまうことがある。

ということです。

こんなことが起こりうるので

 トリロスタンによる治療中は

一般的なモニタリング事項に加えて、定期的に下垂体サイズを確認したほうがいい

とは思いますが、

 CTやMRIという断層撮影が身近で気軽にできるものではないので

 現状、当院では下垂体サイズを定期的に測定することはできていません。

トリロスタン長期治療中に神経症状を主訴にして来院するワンちゃんの場合

 ネルソン症候群が鑑別診断の上位にきます。

 上記のネルソン症候群についてオーナー様に説明させていただくと

「そんなことがおきるなんて知らなかったぁ」という反応がよくかえってきます。

 トリロスタン長期治療中にみられる、首が傾く・クルクル回る・てんかん発作などの神経症状は下垂体腫瘍が一定以上増大(いわゆる下垂体巨大腺腫)したことによりひきおこされている可能性があります。

 この状態をなんとかしないといけないのですが、

 神経症状が如実にわかるほど大きくなってしまった下垂体腫瘍に対してできることは限られていると思います。

 アグレッシブに診断・治療をしようと思うと、

 脳のMRI検査を実施して現在の神経症状に対する責任病変を探索して
~脳腫瘍もしくは二次性脳腫瘍が必ずしも原因とは限らないので精査が必要~

 もしほんとに下垂体巨大腺腫が原因であるなら、神経症状の緩和のために放射線治療をするかどうか検討する。
~実際、放射線治療は神経症状の改善率が高いという報告もあります~

とはいえ、

 高齢かつ全身状態が悪化していて、神経症状も重度な状態で来院されるワンちゃんを前にすると「MRIや放射線治療を選択肢に提示しようかどうか」というところから私は悩みます。

 たとえ寡分割照射(通院回数を減らすため)で放射線治療をおこなったとしても高知県からの治療も加味して、オーナー様やワンちゃんの負担は相当大きいものになると思います。

 診断・治療方針をオーナー様とじっくり話し合う中で、

 ネルソン症候群疑いでMRI検査や放射線治療まで希望されるオーナー様に当院で私はまだ出会ったことがありません。

 ほとんどのオーナー様はQOL(生活の質)の維持向上のための緩和ケアを望まれます。

たとえば、

・てんかん発作があるなら肝機能や腎機能を考慮しながらの抗てんかん薬の投与

ゾニサミド(コンセーブ)とレベチラセタム(イーケプラ)

↑てんかん発作のコントロールに使用する当院の抗てんかん薬。鎮静作用少なめのお薬を使用しています。肝機能・腎機能も考慮してお薬を選択します。

・脳圧や脳の浮腫を疑うなら利尿系統のお薬や、場合によってはステロイドの使用

イソバイドシロップ

↑場合によってはイソバイドシロップも併用することがあります。

・日々の栄養管理のアドバイスや脱水予防のための対症治療
~舌がうまく動かない、嚥下能力低下などを考えて誤嚥に気を付ける~


 トリロスタン長期治療中の神経症状に対して当院でできることは少ないですが、ワンちゃんがすこしでも機嫌よく生活できるために「なにができるか?」ということを中心に、オーナー様とよく話し合って治療していきます。

 私の中で犬の副腎皮質機能亢進症(クッシング症候群)は、

どちらかというと下垂体腫瘍に伴う腫瘍随伴症候群という捉え方

をしています。

 いろいろな局面で広い視野をもって診断・治療を考えていきたいと思っています。


ここからは2022年12月23日に加筆

 今回は犬のクッシング症候群の内科治療で思ったことのお話~第2弾~です。

①犬のクッシング症候群の典型的な症状

 以前の記事で、犬の副腎皮質機能亢進症(クッシング症候群)は、

 副腎という小さな臓器から不必要にホルモン(コルチゾル)がどっかんどっかん分泌されて体に悪影響を及ぼす病気

であり、

 犬の大部分でその原因は下垂体腫瘍である

と書きました。

 では、その症状はというとGoogle先生任せで何も書きませんでした。
 ~その後、ネルソン症候群については長々書いているにもかかわらず…~

ということで、今回は私なりに、

 犬の副腎皮質機能亢進症はどんな症状なのか?

 オーナー様のどんな主訴で私がこの病気を疑って検査・診断するのか?

を書いてみます。

 なんといってもこの病気の症状でよくオーナー様が訴えられるのが、
 ~私の経験上ですが~

 多飲多尿

です。

 多飲多尿を主訴に来院したワンちゃんを身体検査すると、

 お腹がパンパンに張っている。なんか毛も薄い。

 問診を進めると、「そういえば、めちゃよく食べますね(多食)」

このような診察の流れで

 「いろいろな病気が考えられますが、クッシング症候群という病気の症状に似ていますね。なんらかの検査をしてみてはどうでしょうか?」

というお話になることがあります。

 多飲多尿を主訴にする病気はいくつもあるので、クッシング症候群だけでなくしっかり鑑別診断しないといません。
 ~多飲多尿+多食+腹部膨満=クッシングというわけでは必ずしもないですが強く疑う所見ではあります~

よく聞かれる質問に、

 多飲多尿、とくに多飲ってどんだけ水飲むことをいうんですか?

というのがあります。

 「オーナー様から見てむちゃくちゃ水飲んでいるように感じたら多飲です」

と私はよく答えます。

なぜならば、

 普段から接しているオーナー様の感覚が重要だと思うからです。

 ただ、それだと感覚だけの主観的な話になるので、あえて飲水量を客観的な数値としてあげるとすれば

 100ml/kg/day
 ~1日に体重1キロあたり100mlを超えるか否か。5kgの犬なら1日に500ml以上飲んでいたら多飲です~

を超えるかどうかを私なりの客観的な目安として多飲の評価にしています。

ところで、

 副腎皮質機能亢進症には多食という症状もあるのですがこの症状が主訴にされることはあまりありません。

そもそも

 臨床の仕事をしていて、

 「食べ過ぎて困るんですよ。」

という主訴で来院されるオーナー様は少ないと思います。
~食べ過ぎにも程度はありますが~

あと、

 もう一つこの病気の症状でよくオーナー様が訴えられるのが、
 ~私の経験上ですが~

 呼吸が荒い、ハアハアする
 ~いわゆるパンティング~

です。

 では、なんでこの病気で呼吸が荒くなるのか?

その理由は、

 コルチゾルのどっかん分泌!が原因で呼吸に関わる筋力が低下すること

 この病気のせいで増加したお腹の中の脂肪に横隔膜が押されて胸腔が狭くなること

このようなことが考えられています。

 以上、この病気のよくある臨床症状を診察の流れでまとめてみると、

 多飲多尿を主訴に来院されて、診察台のワンちゃんを見るとパンティングしている。

 お腹の触診してみるとお腹がパンパン。なんとなく毛が薄いようにも見える。

 話をよく聞いてみると「たしかに、よく食べるんですよね」

 決めつけはよくないですが、この流れだと犬の副腎皮質機能亢進症(クッシング症候群)を強く疑います。

 「ここまで典型的な症状・所見をもって来院するワンちゃんがほんとにいるの?」

と思うかもしれませんが、全然少なくはありません。

最後におまけの話ですが、

 犬のクッシング症候群だと「腹部膨満があって肝腫大がある」というのは典型例です。

 この肝腫大に対してエコーで肝臓をよく見るようにしよう!と私は思っています。

 クッシング症候群の犬では、肝細胞癌が隠れている可能性もないとはいえないからです。

 塊状(孤立性)の肝細胞癌を早期発見することは大変有意義だと思います。

②動物用トリロスタン製剤の種類が増えた!

 犬の副腎皮質機能亢進症のお薬である「商品名アドレスタン」さんを以前に当記事で紹介しました。

 トリロスタン製剤と言えば日本では人体薬の「デソパン錠」しかなかった時代に、動物薬として颯爽とデビューしたのがアドレスタンさんです。

 このお薬によって助けられたワンちゃんはたくさんいると思います。
 ~トリロスタン(商品名アドレスタン)がどんなお薬か?は前回記事を参考にしてください~

 すばらしい犬の副腎皮質機能亢進症の諸症状改善薬ですが、
 ~なんぼトリロスタン飲んでも根本の原因の下垂体腫瘍にはほぼ効果ありません。あくまで諸症状改善薬です~

 アドレスタンさんには、私が思う欠点もありました。

それは、

 とにかく使い勝手がちょっと…

ということです。

 こまかい薬用量調節が当院の調剤環境ではできません。

正確に言うと、

 あくまで当院ではできないというか、なるべくやりたくない感じです。

 アドレスタンさんのカプセルを開いて中の粉を出して院内で分包して、オーナー様に処方して、オーナー様はそれを毎日犬に投与して…

 というのは、院内の女性スタッフ、そしてオーナー様のご家族の薬剤被曝を考えると私はなるべくやりたくないです。

 いちおうアドレスタンさんには

 アドレスタン5mg 10mg 30mg 60mg

と4つの成分分量があるのですが

 分包(分包して再カプセル化)でもしない限り、無理やりこの薬用量にあわせて処方しなければいけないので、この点では使いづらいなぁと思っていました。特に小型犬に対して。

そもそも、

 副腎皮質機能亢進症の諸症状改善に有効なトリロスタンの薬用量は個体差が大きいという報告がありますし、私もそう思います。

 トリロスタンは薬用量によっては重篤な副作用を引き起こすこともあるお薬です。しかもそれが不可逆的なこともなくはないお薬です。

そんなこんなで、

 けっこう薬用量に気を使う必要があると私は思っています。

だからこそ、

 トリロスタンの薬用量をかんたんにちょっとでもいいから調整出来たらいいな♪とずっと思っていました。

 そんな中、2022年の11月に新しい動物用トリロスタン製剤があすかアニマルヘルス株式会社様から上市されました。

 トリロスタン錠「あすか」という商品名です。
 ~ド直球ストレートな名前でいいですね~

その製剤の最大の特徴は

 割線入り錠剤

ということです。

トリロスタン錠あすか アドレスタン

↑上の錠剤があすかさん。下のカプセルがアドレスタンさん。あすかさんにすこし触れてみるとツルツルしています。フィルムコーティングを実感できます。錠剤も小さくて飲みやすそうです。

 「錠剤を半分に分割することは薬剤被曝ゼロか?」といえばそうではないと思いますが、カプセルに入った粉を半分にするより全然いいと思います。

 アドレスタンさんよりは薬用量調整=1/2分割がしやすくなると思います。

 トリロスタン錠「あすか」の成分分量は今の所、2.5mg 5mg 10mgの3種展開です。

 クッシング症候群のワンちゃんにはできる限り低用量2回投与で処方したいと私は思っていたのでそのニーズに合致するお薬だなと思います。
 ~そもそも人間のデソパン錠は1日3~4回投与のお薬です。犬には1回投与でコルチゾルを1日通して抑え込めるのかな?と思います~

あと、

 何度も書いていますがトリロスタンは薬剤被曝に気を使う必要があるお薬です。特に女性に対しては。
~人の例だとトリロスタンは妊娠または妊娠している可能性のある女性には禁忌のお薬です。もちろん、妊娠または妊娠している可能性のある犬にも禁忌です。血中プロジェステロンを低下させる影響があるからです。投薬・調剤での薬剤被曝はごく微量とはいえ、積もり積もれば…もあるので気を付けたいです~

その点で

 フィルムコーティング錠を製品特徴として挙げられているのもあすかさんの安心な点かなと思います。

 毎日毎日ずっと投薬しないといけないお薬なので、オーナー様の薬剤被曝をすこしでも減らせるフィルムコーティング錠というのはすごい利点です。
 ~分割なしで2.5mgの投与ができるので、オーナー様の安全を確保して小型犬に投薬を継続できる薬だと思います~


 動物用の内分泌疾患治療薬は、日本でも徐々に充実してきていると思います。

 ワンちゃんの治療効果やオーナー様の安全を考えて薬の選択をしていきたいと思います。

2021年11月17日